loading

ポカンとダイナソー

子どもの一生を「呼吸」から変えていく

総合的な口腔機能改善プログラム

子どもの一生を「呼吸」から変えていく総合的な口腔機能改善プログラム

ABOUT

ポカンとダイナソーとは?

南の海にうかぶ、緑ゆたかなぽっかり島。
この島の恐竜たちは
「ポカンとダイナソー」と呼ばれ、
お口ポカンの影響で元気がなくなり、
絶滅の危機にある。

ポカンとダイナソーを救えるのは
きみたち恐竜ハンターだけ!
ポカンとダイナソーをつかまえて、
一緒に正しい呼吸法をマスターしよう!

「ポカンとダイナソー」プログラムは、
器具の力だけに頼らず、
日々自主的に機能トレーニングをおこなうことで
歯並びを悪くする根本原因を取り除くため、
結果的に歯並びだけでなく
全身の健康にも大きな効果が期待できます。

SPECIAL

プログラム中にGET!

プログラム開始時、テキストと一緒に
トートバッグとシール台紙をお渡しします。
その後、プログラムの進行度に応じて
シールや缶バッジを配布。
すべてのプログラムクリアで
シークレットキラキラ缶バッジ
をGETしよう!

まずはお子様の口呼吸の
可能性をチェックしてみよう!
まずはお子様の
口呼吸の可能性をチェック!

上記のチェックリストに
一つでも当てはまる方は
口呼吸の可能性が高いです!

STUDY

口呼吸が身体におよぼす影響

人間の本来の呼吸法は鼻呼吸。
しかし、近代の生活習慣の変化によって、
口呼吸になる人が増えています。
そして、口呼吸による悪影響は
歯並びだけに留まりません。

集中力の低下 虫歯 歯周病集中力の低下 虫歯 歯周病
睡眠障害 口臭 顔の筋力低下睡眠障害 口臭 顔の筋力低下
様々な病気のリスク増 扁桃肥大様々な病気のリスク増 扁桃肥大
頭蓋顔面発育障害 口腔乾燥 いびき(気道閉塞)頭蓋顔面発育障害 口腔乾燥 いびき(気道閉塞)
免疫力低下免疫力低下

REASONREASON

歯並びが悪くなる原因例

歯並びが悪くなる原因の一つに、
まちがったクセがあります。
根本原因から見直さないと、
同じ口腔トラブルを何度も繰り返すことになり、
からだ全体の健康にも影響を及ぼします。

CASE STUDY

実際の歯並び改善例

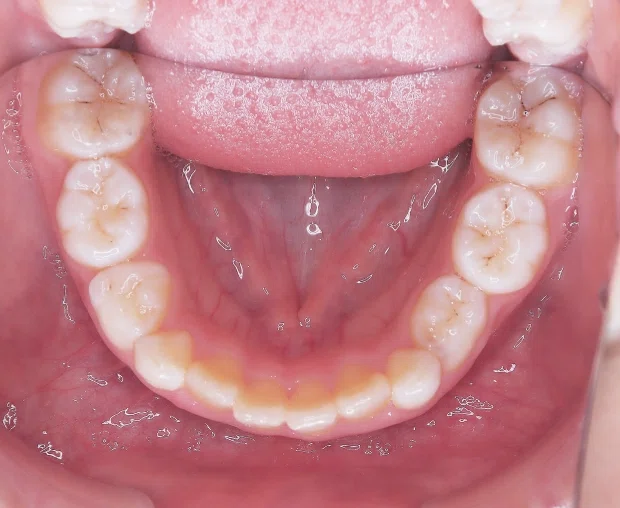
CASE 01

下顎前突(しゃくれ)が改善した症例
(8歳4ヶ月~10歳1ヶ月)

上顎を広げる装置を一定期間入れ、
トレーニングを行いました。

BEFORE
AFTER

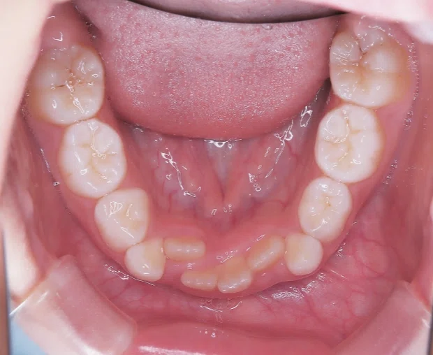
CASE 02

叢生(ガタガタ)が改善した症例
(9歳1ヶ月~10歳6ヶ月)

遠方にお住まいのため、オンラインと来院の
ハイブリットにてトレーニングを行いました。

BEFORE
AFTER

PRICE

プログラム料金

  • 検査・診断料金

    5.5万円(税込)

    この治療を始める前には、最初にいくつかの検査をし、
    根本原因を調べ、個人に適したプログラムを作成します。

  • カチッとベーシックプログラム

    3ヵ月/全14回25.3万円(税込) 〜

    数種類の専用器具を使用しながら、
    歯並びを悪くしている原因を除去する期間。

  • シャキッとパワーアッププログラム

    1年/全14回25.3万円(税込) 〜

    歯を動かすための数種類の専用器具を使用しながら、
    トレーニングを継続する期間。

※診療一回あたりの所要時間は30分~1時間程度です。

※カード払い及びデンタルローンも可能です。

※プログラムの実施及び内容・回数には個人差があります。

ご質問・ご相談をご希望の方は、
お電話もしくはお問い合わせフォームよりご連絡ください。

CONTACT

PRICE

院長あいさつ

「ポカンとダイナソー」は呼吸法を含めた
総合的な口腔機能改善プログラム!
私たちと一緒に、
健康な口腔機能完成を目指しましょう!

勝俣歯科医院 院長 歯科医師勝俣 弾

同じ周期で定期検診をうける方の中でも、人によって口腔内の状態は全く異なります。
苦労なくいい歯並びをしている人もいれば、矯正をしたのに後戻りしてしまう人もいるのです。その大きな原因の一つとして、舌の使い方、習慣的な呼吸様式の違いがあります。
歯を治療すること以前に、この根本原因を解決することが必要です。

生え変わりを待って歯を抜く矯正ではなく、今、口腔機能から原因を考え改善するメリットはたくさんあります。その場しのぎの治療を施すことはできますが、私たちは一人ひとりの人生を根本からよりよくしていきたいという大切な夢があります。
子どもたちがあらゆる健康トラブルに悩まされず、
自分らしく、笑顔で人生をたのしめるように。
未来を生きる子どもたちに、何にも替え難い「健康」を贈りませんか。

〒153-0052
東京都目黒区祐天寺2-14-8
ウェストフォトビル3F Googlemaps
03-3793-5515

患者さんと笑顔を目指す

祐天寺駅「東口」から徒歩約2分。
悪くなった「原因」にフォーカスして
「根本的」な治療と予防を提供する歯科医院です。

勝俣歯科医院 公式サイトへ
勝俣歯科医院

PRICE

よくあるご質問

Q.一般的な歯科矯正治療との違いは何ですか?

A.大きな特徴は下記の3つです。
1.歯を抜く可能性が低い/2.ブラケットをつけることが少ない/3.後戻りすることが少ない
装置の力だけに頼らず、自主的に機能トレーニングをおこない、歯並びを悪くする原因を取り除くことで、歯列を整え、良い顔つきや姿勢が手に入ります。
正しい舌の位置、呼吸、咀嚼、嚥下、姿勢等を身につけることで健康面にも大きな効果が期待できます。
開始する年齢や状態、 治療経過によって、ブラケットを使用することもありますが、見た目の形態だけではなく、機能を改善することを目的としています。
年齢別のプログラムがあり、 低年齢のお子さんでも楽しみながらおこなえるトレーニングがあります。

Q.治療は何歳からはじめたらいいですか?

A.状態にもよりますが、8歳までにスタートすると、負担も少なく効果的に進むことが多いです。
しかし、3歳ころから始める方もいれば、大人になってから(60代以降から)始める方もいらっしゃいます。
早ければ早い方が予防的な効果は大きく、その年齢や状態に合わせたプログラムがあります。
永久歯が生え揃うのを待ってブラケットで矯正する方法もありますが、ポカンとダイナソープログラムは歯並びを悪くする根本原因にアプローチするため、早期介入をお勧めしています。

Q.治療期間はどのくらいですか?

A.スタートする年齢と状態によりますが、「カチッとベーシックプログラム」 3ヵ月間と「シャキッとパワーアッププログラム」1年間の、合計1年3か月間が基本プログラムです。
その後、ご本人の状況に応じて延長をおすすめする場合や、別のプログラムに移行する場合もあります。
なお、治療が終了した後も、定期的なメンテナンスの中で都度確認し、永久歯が生えそろい、15歳になるまでサポートは続きます。

Q.支払い方法はどのような選択肢がありますか?

A.現金、振込入金、クレジットカード、電子マネー、もしくはデンタルローンでも可能です。
「全額一括払い/分割払い/来院毎の都度払い」から選択可能で、それぞれ総支払合計の割引率が変わります。

例)カチッとベーシックプログラム/シャキッとパワーアッププログラム
*毎回支払いの場合、¥506,000-
*ニ回支払いの場合、¥484,000-
*一括支払いの場合、¥473,000-

Q.2種のプログラムのうち、どちらか1つだけを受けることは可能ですか?

A.カチッとベーシックプログラムのみのご利用も可能です。しかし、ご本人の癖を治すプログラムなので、歯並びの改善までは効果を見込めない可能性がございます。

Q.予約はどのようにとりますか?

A.プログラム毎に治療の回数や頻度、開催日時などが決まっています。そのため、治療を開始する際にプログラム終了までのご予約をすべてお受けいたします。
予定の変更や、体調不良などの事情でやむなくキャンセルされる場合は、なるべく早くご連絡ください。ご希望に添うよう予約変更をご案内いたしますが、状況によってはご希望に添えない場合もございます。急な症状などでご来院の場合も、お電話でお問い合わせください。

Q.レッスンの曜日は決まっていますか?

A.レッスンとレッスンの間隔は決まっていますが、曜日等は予約に順じます。
レッスン期間が空き過ぎる場合には、カウンセリングの上で中断する場合もございます。

Q.始める前に、どんな検査をするのですか?

A.①口腔内写真撮影
②顔貌・姿勢の写真撮影
③口腔内スキャナによる歯の型どり
④CT、パノラマ撮影
⑤発音や嚥下の様子の動画撮影
⑥口唇や舌の力の測定
⑦習癖や睡眠時の様子の確認(問診等)
⑧呼吸や血中酸素濃度の測定
などをおこないます。
当院のレントゲンCT写真は、歯科用CTの中でも被ばく線量が少ないのが特徴です。

Q.レッスン1回あたりの時間はどのくらいかかりますか?

A.約30~60分です。予約枠により変動がございます。

Q.プログラムを中断することは可能ですか?

A.様々な都合で、どうしても継続が難しい場合、トレーニングを中断もしくは中止することも可能です。
一時中断や中止、終了などの際は、その条件などについて同意書を元に確認して決定します。 来院が難しい場合、オンラインでのトレーニングも予定しておりますので、お気軽にご相談ください。
原則として、お支払い済の費用に関しては返金できかねます。また、割引の適用がなくなり、レッスン数に応じた値段から差し引きさせていただくことになります。
レッスンにご協力が得られない場合は、こちらから中断させていだだくこともございます。

Q.毎回保護者の付き添いが必要ですか?

A.必要です。トレーニングは本人だけでなく、保護者の方にもご理解いただいた上でのご協力が必要です。
治療に付き添う保護者の方が、目的と内容を理解して一緒におこない、自宅ではお子さんだけにやらせることなく、ご一緒にトレーニングをお願いします。私たちはお子さん自身が「こうなりたい」と思える理想をイメージできるようサポートいたします。

Q.指導は歯科医師が行いますか?

A.歯科医師、衛生士、訓練を受けたトレーナーが行います。
また、この治療はご家族の協カやご家庭でのトレーニングも重要になります。担当スタッフが状態を把握しながら進めていきますので、原則担当制でご予約をお受けします。

Q.ポカンとダイナソーとは?

A.ポカンとダイナソー®︎は勝俣歯科医院の登録商標です。6体のオリジナルキャラクターからなる、勝俣歯科医院の独自プログラムです。

CONTACT

お問い合わせ

ご質問・ご相談をご希望の方は、お電話もしくは
お問い合わせフォームよりご連絡ください。
プログラム初回仮予約をご希望の方は
専用予約フォームからお申し込みください。

03-3793-5515

〈個人情報の取り扱いに関する基本方針〉

勝俣歯科医院(以下「当院」)は、当院のウェブサイト(以下「当サイト」)を通じてお客様から当院にご提供いただいたお客様個人を識別しうる情報(以下、「個人情報」といいます。)について、下記のポリシーに基づき、適切に取り扱い、保護に努めます。

〈個人情報取扱事業者の名称及び代表者の氏名〉

勝俣歯科医院
住所 〒153-0052 東京都目黒区祐天寺2-14-8 ウェストフォトビル3F
代表者名 院長 勝俣 弾

〈定義〉

  1. 個人情報とは、次のいずれかに該当するものをいいます。
    ①個人情報とは生存する個人に関する情報であり、氏名、生年月日、住所、電話番号、メールアドレス等、特定の個人を識別することができるもの。
    ②その情報のみでは特定の個人を識別できないが、他の情報と容易に照合することができ、この照合により特定の個人を識別できることとなる情報。

  2. 個人データとは、個人情報データベース等(個人情報保護法第2条第4項)を構成する個人情報をいいます。

〈収集方法〉

当サイトでは、お問い合わせをされる際に以下の個人情報をご提供いただく場合があります。収集するにあたっては利用目的を明記の上、適法かつ公正な手段によります。
当サイトで収集する個人情報は以下の通りです。

  • 名前、フリガナ

  • 電話番号

  • メールアドレス

  • 上記を組み合わせることで特定の個人が識別できる情報

〈利用目的〉

当サイトがお客様からお預かりした個人情報を利用する目的は以下の通りです。

  • ご本人確認のため

  • お問い合わせの確認・回答のため

  • メールマガジン・DM・各種お知らせ等の配信・送付のため

  • キャンペーン・アンケート・モニター・取材等の実施のため

  • サービスの提供・改善・開発・マーケティングのため

  • お客さまの承諾・申込みに基づく、提携事業者・団体等への個人情報の提供のため

  • 利用規約等で禁じている行為などの調査のため

  • アクセス解析サービス、各種アフィリエイトプログラム、広告配信サービスに利用するため

これらの広告配信業者は、ユーザーのご興味に応じた商品やサービスの広告を表示するため

〈安全管理措置〉

取り扱う個人データは、漏えい、不正アクセス、紛失、漏えい等が起こらないよう、必要かつ適切な安全管理措置を実施いたします。また、個人データを取り扱う従業者や委託先(再委託先等を含みます。)に対して、必要かつ適切な監督を行います。

〈第三者提供の制限〉

当サイトは、次の場合を除き、第三者に個人データを提供することはありません。

  • 上記提供についてご本人から個別に同意を得た場合

  • 法令に基づく場合

  • 人の生命、身体または財産の保護のために必要がある場合であって、ご本人の同意を得ることが困難であるとき

  • 公衆衛生の向上または児童の健全な育成の推進のために特に必要がある場合であって、ご本人の同意を得ることが困難であるとき

  • 国の機関若しくは地方公共団体またはその委託を受けた者が法令の定める事務を遂行することに対して協力する必要がある場合であって、ご本人の同意を得ることにより当該事務の遂行に支障を及ぼすおそれがあるとき

  • 当院の業務遂行上必要な範囲内で、委託先に提供する場合

〈外国にある第三者への提供について〉

当サイトは、次の場合を除き、外国(本邦の域外にある国または地域をいいます)にある第三者に個人データを提供することはありません。

  1. あらかじめご本人から外国にある第三者への提供を認める旨の同意をいただいた場合

  2. 個人情報の取り扱いについて、適切かつ合理的な方法により、個人情報保護法第4章第1節の規定の趣旨に沿った措置を実施しており、且つ、当院との間でその実施が確保されている、外国にある第三者に個人情報を提供する場合

  3. 法令により認められた場合

〈開示、訂正・追加・削除、利用停止・消去、第三者提供の停止〉

保有個人データについて、ご本人が、開示、訂正・追加・削除、利用停止・消去、第三者提供の停止をご要望される場合は当院まで直接ご請求ください(第三者提供記録(個人情報保護法第33条第5項)の開示をご要望される場合も同様です。)。
当院は、個人情報漏洩防止、正確性、安全性の確保の観点から、遅滞なく必要な調査を行い、当該ご請求がご本人によるものであることが確認できた場合に限り、ご本人の個人情報等の開示、訂正・追加・削除、利用停止・消去、第三者提供の停止を法令の定めに基づき行います。(法令の規定により特別な手続きが定められている場合を除く)
ただし、開示することにより次のいずれかに該当する場合は、請求に応じることはできません。開示等の実施、不実施については、ご請求のあったご本人に対してその旨を遅滞なく通知します。

  1. ご本人または第三者の生命、身体、財産その他の権利利益を害するおそれがある場合

  2. 当院の業務の適正な実施に著しい支障を及ぼすおそれがある場合

  3. その他法令に違反することとなる場合

〈クッキー(Cookie)について〉

当サイトは、一部のコンテンツについてCookieを利用しています。
Cookieとは、サイトにアクセスした際にブラウザに保存される情報で、名前やメールアドレスなどの個人の特定を可能にするような内容は含まれておりません。

この機能はCookieを無効にすることで収集を拒否することが出来ます。お使いのブラウザの設定をご確認ください。ただし、この設定により一部のコンテンツが正しく機能しない場合、またサービスが受けられない場合がございます。あらかじめご了承ください。
なお、設定方法に関してはGoogleポリシーと規約にてご確認いただけます。

〈SSL(Secure Socket Layer)について〉

当サイトでは、お客様が入力された個人情報を安全に送受信するため、個人情報を入力するページには暗号化技術のSSLを導入しております。
SSLを利用することにより個人情報が自動的に暗号化されて送受信されるため、万が一、送信データが第三者に傍受された場合でも、内容がGooglemaps盗み取られる心配はありません。

〈免責事項〉

当サイトに掲載している情報の内容に関しては万全を期しておりますが、その内容の正確性及び安全性を保証するものではありません。
当サイトに掲載されている情報によって被った損害、損失に対しては一切の責任を負いかねます。
また、当サイトから外部のホームページにリンクしている場合がありますが、リンク先のホームページについては我々が管理、運営するものではありませんので、その内容の真偽等についても一切責任を負いかねます。
なお、当サイトに掲載されている情報については、予告なしに変更又は削除する場合がありますのであらかじめご了承ください。

〈本ポリシーの変更について〉

当サイトは、日本の法令その他規範を遵守するとともに、本ポリシーの内容を適宜見直し、その改善に努めます。
なお、本ポリシーの変更は、当サイトに掲載された時点、またはその他の方法により閲覧可能となった時点で効力を生じるものとします。

〈個人情報の取り扱いに関するご相談やお問い合わせ先〉

当ポリシー及び個人情報の取り扱いに関してお気付きの点がございましたら、お問い合わせフォーム、または下記連絡先へご連絡ください。
住所 〒153-0052 東京都目黒区祐天寺2-14-8 ウェストフォトビル3F
院名 勝俣歯科医院
TEL 03-3793-5515

2023年10月30日制定
勝俣歯科医院
代表者名 院長 勝俣 弾

〈アクセス解析ツールについて〉

当サイトでは、Googleによるアクセス解析ツール「Googleアナリティクス」を利用しています。
このGoogleアナリティクスはトラフィックデータの収集のためにCookieを使用しています。このトラフィックデータは匿名で収集されており、個人を特定するものではありません。

この機能はCookieを無効にすることで収集を拒否することが出来ます。お使いのブラウザの設定をご確認ください。ただし、この設定により一部のコンテンツが正しく機能しない場合、またサービスが受けられない場合がございます。あらかじめご了承ください。
なお、設定方法に関してはGoogleポリシーと規約にてご確認いただけます。

クチポカノサウルス

クチポカノサウルス

普段はキリッとかっこいいけど、
気を抜くとお口がポカンと開いてしまうよ。
口唇トレーニングでレベルアップ!!

トレーニング項目
口唇
イメージカラー
レッド
すきなもの
アメリカンドッグ
きらいなもの
ゴックンノドン

ゴックンノドン

大きなお口がチャームポイントだけど、
食べ物を口いっぱいにほおばって
うまく飲み込めないことも。
しっかりよく噛んで飲み込めるよう、
嚥下・咀嚼トレーニングでレベルアップ!

トレーニング項目
嚥下・咀嚼
イメージカラー
ブルー
すきなもの
スイカ
きらいなもの
グリーンピース
シタマイゴザウルス

シタマイゴザウルス

小さなお口の中には長〜い舌が隠れているよ。
疲れると舌が口におさまりきらなくて
迷子になることも。
背中の宝石は光を浴びるとキラキラ虹色に光るよ。

トレーニング項目
イメージカラー
イエロー
すきなもの
宝石
きらいなもの
地図
プックラプトル

プックラプトル

ほっぺたにある大きな袋がチャームポイント!
ほっぺたのハリ・ツヤで体調がわかるよ。
とってもやさしい性格で、お手伝いが大好き!
頬のトレーニングでレベルアップしよう。

トレーニング項目
イメージカラー
パープル
すきなもの
お手伝い
ボール遊び
きらいなもの
おばけ
スーピーサウルス

スーピーサウルス

寝るのが大好きで、性格はとってもおだやか。
頭のリボンは枕にもなるよ。
口を開けて寝ないように、
呼吸トレーニングでレベルアップ!

トレーニング項目
呼吸
イメージカラー
ピンク
すきなもの
寝ること
きらいなもの
早起き
シャキットプス

シャキットプス

とっても力持ちで頼もしい、
みんなのお兄ちゃんのような存在。
でも落ち込むとタテガミが倒れて
4足歩行になっちゃうよ。
姿勢トレーニングでレベルアップ!

トレーニング項目
姿勢
イメージカラー
グリーン
すきなもの
筋トレ
きらいなもの